| 
								 THE OLDEST ANGIOSPERM Age: Norian, 110 million years older than the previously recognized Aptian angiosoperm fossils from the Early Cretaceous. 
								 Sunday Canyon looking South from North rim above Sanmiguelia outcrop below point bar sandstone, which is half-way down cliff face along a switchback dirt road. 
								 
								 Axelrodia carpel and flower with narrow petals; dicot embryo and simple monosulcate pollen. Vegetative part of plant: Sanmiguelia lewisii Brown 1956; Female part of plant: Axelrodia burgeri Cornet 1989; Male part of plant: Synangispadixis tidwellii Cornet 1989; Seed with dicot embryo: Nemecekigone fabaforma Cornet 1989; Pollen: simple monosulcate. 
								 
								 
								 
								 
								 Carpel showing outer hairy cuticle, inner transmission tissue for pollen tubes, mature bean-shaped seeds (Nemecekigone fabaforma), separated seed coat (black), and leaf stomata. Small arrows in B mark trace of Ventral Suture. 
								 SLD = slide preparation; SEM = Scanning Electron Microscope analysis; insect jaw bites visible in fossil matrix. 
								 Above: Compression of isolated carpel with ventral suture. Transmission tissue dissected from this carpel (see above F and G), which directs pollen tubes to two, basal anatropous ovules. Anther debris clinging to hairy outside of carpel from insect foraging. Two resin glands next to stigma, probably for attracting insects (cf. beetles based on jaw cut marks) to stigma. Below: Left column: multicarpellate fruit with developing seeds inside. Right column: biloculate anthers with septum between two pollen sacs as in angiosperms. 
								 A, B, C = Variations in carpel size and shape, some with developing seeds inside; db = digitate bract; sd = seed in fruiting stage; o = ovule; g = gland (three around carpel apex); cb = conduplicate or folded bract; s = stigma; 
 LEAF VENATION DETAILS 
								 
								 Leaves with parallel veins, cross veins, apical vein fusion and resin tubes as in extant monocots. 
								 Epidermal hairs on leaves. Cladophlebis fern frond that grew along side Sanmiguelia. 
								 Sanmiguelia outcrop, oxbow lake fill; photo by Cornet 1980. Below: Sanmiguelia leaf impressions (Brown 1956, Ash 1976). 
								 A complete female inflorescence discovered of Axelrodia burgeri (female) shown below. Drawing reconstructions by B.Cornet: 
								  
								 
								 
								  Left: Sanmiguelia vegetatively similar to Veratrum californicum (Extant California False Hellbore); but it has dicot characteristics such as a woody stele and dicotyledonous embryo. 
 
 Geology of Utah's Far South: Utah Geological Association Publication 43, p. 511-516, 2025. 
								 This means that Sanmiguelia lewisii survived the Triassic/Jurassic Mass Extinction and existed in the Early Jurassic of Utah.  | 
				

 
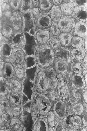
petrified root  
 secondary 
wood
Oldest Stem-Group Angiosperm Diagnosis
Clasping leaves with parallel veins, large pith, secondary wood as in Magnolia, some vessels in roots, combining monocot and dicot characteristics 110 million years before the Early Cretaceous radiation of Crown-Group Angiosperms. Ovuliferous flowers (Axelrodia burgeri) have two basal ovules per carpel that each develops into a bean-shaped seed with one cotyledon significantly smaller than the other cotyledon. There is no uniform floral structure, variable floral parts with distal/apical flower the largest with multiple carpels, and smaller flowers along secondary inflorescence axes. Reproductive axes unisexual and born on an inflorescence axis with a large sheathing leaf at its base as in herbaceous monocots. Male flowers (Synangispadixis tidwellii) are almost identical to those of extant Hedyosmum mexicana (Chloranthaceae). Evidence for beetle pollination.

Angiosperm pollen evolution in the Late Triassic.

Bruce Cornet webmaster:
  
cornetbruce@yahoo.com; cornetbruce3@gmail.com
  This web page was last updated on